发布时间:2024-04-08作者:广西壮族自治区胸科医院点击: 次
随着影像技术的进步和人们健康意识增强,如今查出肺结节的人并不少见。59岁的唐女士就是其中一位,去年年初,她在一次体检中查出左肺上叶前段有一个直径约1.0cm混合结节,考虑为周围型肺癌,同时合并有右下肺一磨玻璃结节,大小约5mm。之后,广西胸科医院胸外科一病区主任唐中明团队为唐女士行左肺上叶肺结节切除术,术中冰冻提示浸润性腺癌,随行左肺上叶肺癌根治术,并进行术后随访右下肺磨玻璃结节。

▲唐中明主任正在开展微波消融术
去年10月,唐女士感胸部不适返院复查,右肺下叶肺磨玻璃结节仍存在,直径约5mm,伴有血管支配供血,唐中明主任考虑右下肺磨玻璃结节小,建议继续随访观察即可,随访至今年3月,肺磨玻璃结节未见缩小。随访过程中唐女士非常焦虑,她担忧这次的结节是恶性的或者可能会发展为恶性,在极大的心理压力下,她反复找到唐中明主任寻求解决办法,希望能在不进行开胸手术的前提下,把结节处理掉。
唐中明主任带领团队认真研究,细心评估,考虑:1.右下肺磨玻璃结节随访10月仍存在,2.影像学提示右下肺磨玻璃结节有血管支配供血,虽然结节较小,但仍属于高危结节;3.患者心理负担重,4.患者左上肺腺癌根治术术后,综合考虑要解决右下肺磨玻璃结节首选微波消融术,胸外科一病区团队量身定制了微波消融治疗方案。3月28日,唐中明主任在CT引导下,将一根直径不到2mm的消融针经皮肤精准刺入患者肺部结节病灶内行微波消融术,术后患者皮肤仅留有一细小针眼,患者术后2小时下床活动、正常进食。在胸外科一病区加速康复的照护下,患者恢复良好。

▲消融针定位中

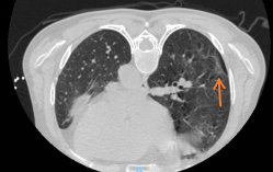
▲消融后肺结节消失
唐中明主任提醒,发现肺结节也不要紧张,及时到正规医院接受检查,广西胸科医院于2023年2月24日成立的肺结节诊疗中心以来,整合了胸外科、呼吸内科、肿瘤内科、医学影像科、病理科、体检科等多学科力量,能够帮助肺结节患者早期发现病情,并提供规范化的诊断与处置意见,提高肺癌的早诊早治率。
01
消融治疗是一种局部微创治疗手段,
消融治疗和外科手术相比有何不同呢?


▲图切草莓蛋糕来比喻传统手术治疗和消融治疗的区别
如果草莓是一个肿瘤,外科手术相当于用刀把草莓切掉,而消融治疗则是用筷子把草莓在原位拿掉。
微波消融术:利用CT或超声等影像技术定位引导下,把一根直径不到2mm的微波消融针插入肿瘤中心,通过发射的微波,使局部组织内的水分子高速运动,摩擦产生热效应使肺脏局部肿瘤组织在几分钟内达到 70℃以上的温度,引起肿瘤组织发生凝固性坏死,而周围组织极少或不受损伤。5-10 分钟就把一个近鸡蛋大小的肿瘤完全“烧死”从而达到治疗肿瘤的目的。相比于传统手术治疗,具有无痛麻醉、手术时间短、恢复时间短、费用低的优点。
02
患者满足以下条件
均可进行微波消融治疗:
① 患者因心肺功能差或高龄不能耐受手术切除;
② 拒绝行手术切除;
③ 其他局部治疗复发后的单发病灶(如放疗后);
④ 原发性肺癌术后或放疗后肺内孤转移;
⑤ 单肺肿瘤(各种原因导致一侧肺缺如);
⑥ 多原发肺癌,肿瘤最大径≤3cm,且无其他部位的转移病灶。
⑦ 肿瘤最大径>5cm或肺多发的转移病灶,可以进行多针、多点或多次治疗,或与其他治疗方法联合应用。
⑧ 周围型肺癌放化疗或分子靶向药物治疗后肺部肿瘤进展或者复发;
⑨ 肿瘤侵犯肋骨或脊柱椎体引起的难治性疼痛,对肿瘤局部骨侵犯处进行消融,达到止痛效果。
03
微波消融治疗:

▲图为穿刺活检同步微波消融治疗


▲消融针(15G)

▲CT引导定位消融

▲消融术后针眼

04
术后注意事项:
1. 卧床休息,避免剧烈咳嗽,打喷嚏或者重体力工作;
2.术后可能出现痰中带血或少量咯血,请不要紧张,一般卧床休息都可自行缓解,如咯血量增多,请及时告知医务人员;
3.术后第2天复查胸片或CT,术后3天保持穿刺处敷料干燥,不要淋浴,防止穿刺部位感染;
4.消融后前3个月,每个月复查1次胸部CT,以后每3个月复查胸部增强CT或遵医嘱。
肺癌是发病率和死亡率增长最快,对人群健康和生命威胁最大的恶性肿瘤之一,如体检发现了早期症状还请患者尽快就医,及时治疗恢复健康。
返回顶部